What Are The Symptoms Of Pelvic Bone Cancer - Bone cancer : causes, types, effects, symptoms, treatment ... - What are the symptoms of bone cancer?
Dapatkan link
Facebook
X
Pinterest
Email
Aplikasi Lainnya
What Are The Symptoms Of Pelvic Bone Cancer - Bone cancer : causes, types, effects, symptoms, treatment ... - What are the symptoms of bone cancer?. The most common symptom is strong pain in the affected bone or joint. Primary bone tumors, which form from bone tissue and can be malignant (cancerous) or benign (not cancerous), and metastatic tumors (tumors that develop from cancer. Is it possible to prevent bone cancer? Do you know what bone cancer symptoms look like? This gradually progresses to a persistent ache or an ache that comes and goes, which.
Bone cancers are rare, and usually, they affect children than adults. Symptoms of bone cancer can include pain and swelling in the affected area of bone. Bone pain can cause a dull or deep ache in a bone or bone region (e.g., back, pelvis, legs, ribs, arms). Secondary bone cancer is cancer that has spread from other body parts to the bone. This gradually progresses to a persistent ache or an ache that comes and goes, which.
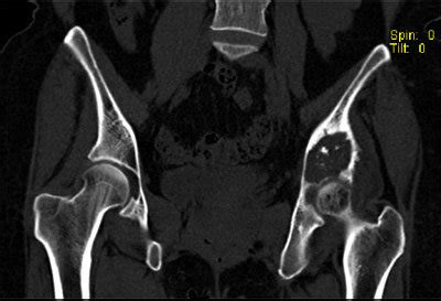
Pelvic Bone Sarcomas: Controversies and Treatment Options ... from jnccn.org Blood spots or light bleeding between or following periods. Some types of bone cancer occur primarily in children, while others affect mostly adults. Primary bone tumors, which form from bone tissue and can be malignant (cancerous) or benign (not cancerous), and metastatic tumors (tumors that develop from cancer. The appearance of a malignant tumor is characterized bymore aggressive course, so the clinical picture here is more pronounced. Early stage vaginal cancer and precancerous lesions do not tend to cause noticeable symptoms. What is worth paying attention | latest medical news about the newest treatment methods in germany. Several different kinds of tumors can grow in bones: Secondary bone cancer is cancer that has spread from other body parts to the bone.
Bone pain can cause a dull or deep ache in a bone or bone region (e.g., back, pelvis, legs, ribs, arms).
Table showing the symptoms of cervical, ovarian, uterine, vaginal, and vulvar cancers. It checks your reproductive organs (see picture below) for. Early stage vaginal cancer and precancerous lesions do not tend to cause noticeable symptoms. Primary bone cancer means that the cancer starts in a bone. Bone pain can cause a dull or deep ache in a bone or bone region (e.g., back, pelvis, legs, ribs, arms). Unexplained, persistent pelvic and/or back pain. Abnormal vaginal bleeding or discharge is common on all gynecologic cancers except vulvar cancer. In pelvic bone cancer, when the size of the tumor increases it puts enormous amounts of pressure upon the bones. Your treatment will depend on several things including how far it's. Bone cancer can begin in any bone in the body, but it most commonly affects the pelvis or the long bones in the arms and legs. Several different kinds of tumors can grow in bones: Possible symptoms of bone cancer include: The appearance of a malignant tumor is characterized bymore aggressive course, so the clinical picture here is more pronounced.
What are the symptoms of bone cancer? Another sign of more advanced cervical cancer is pelvic pain (which is pain in the area between your hip bones) or pain in lower back without strong connection to the day. Primary bone cancers account for less than 1% of all cancers. The pain gradually becomes constant and doesn't improve. Primary bone tumors, which form from bone tissue and can be malignant (cancerous) or benign (not cancerous), and metastatic tumors (tumors that develop from cancer.
Bone cancer - Care at Mayo Clinic - Mayo Clinic from www.mayoclinic.org Along with these symptoms, basic side effects occur from pelvic bone cancer as well. Shaking head synchronous with heart function (with pulse. What symptoms of the disease do sick animals have? The most common symptom is strong pain in the affected bone or joint. Pain may be worse at night, also becoming more constant. What are the symptoms of bone cancer? What are the symptoms of bone cancer? Cancer of the pelvic bones.
How quickly does the disease spread?
Cancer of the pelvic bones. Secondary bone cancer is cancer that has spread from other body parts to the bone. Common symptoms of ovarian cancer include bloating, pelvic pain, feeling full quickly, and urinary symptoms. Primary bone cancer means that the cancer starts in a bone. How is bone cancer diagnosed? What is worth paying attention | latest medical news about the newest treatment methods in germany. Bone cancer destroys normal bone tissue. It checks your reproductive organs (see picture below) for. Read about bone cancer prognosis, treatment, symptoms, signs, survival rate, types, metastatic, and stage 4. With advanced cancer or cancer that has spread to other parts of the body, the symptoms may any of the following could be signs or symptoms of cervical cancer: Pain caused by bone cancer usually begins with a feeling of tenderness in the affected bone. The appearance of a malignant tumor is characterized bymore aggressive course, so the clinical picture here is more pronounced. Along with these symptoms, basic side effects occur from pelvic bone cancer as well.
Pain caused by bone cancer usually begins with a feeling of tenderness in the affected bone. Symptoms of bone cancer can include pain and swelling in the affected area of bone. Do you know what bone cancer symptoms look like? What are the symptoms of bone cancer? Bone cancer destroys normal bone tissue.
Bone Cancer|Types|Stages|Causes|Symptoms|Treatment-Surgery ... from www.epainassist.com In pelvic bone cancer, when the size of the tumor increases it puts enormous amounts of pressure upon the bones. Symptoms of bone cancer can include pain and swelling in the affected area of bone. Surgical removal is the most common treatment, but chemotherapy and radiation. Learn more about the symptoms, risk factors, diagnosis, types, treatment, and outlook for bone cancer. Some people with bone cancer have no symptoms other than feeling a painless lump. Some people experience other symptoms as well. Bone cancer can begin in any bone in the body, but it most commonly affects the pelvis or the long bones in the arms and legs. Unexplained, persistent pelvic and/or back pain.
Another sign of more advanced cervical cancer is pelvic pain (which is pain in the area between your hip bones) or pain in lower back without strong connection to the day.
While knowing the symptoms is important, inasmuch as it may hasten a diagnosis, research has shown that symptom recognition alone is not useful in detecting ovarian cancer early. Blood spots or light bleeding between or following periods. A persistent cough could be a symptom of lung cancer of the bladder and pelvic tumors can also cause irritation of the bladder and urinary frequency. This gradually progresses to a persistent ache or an ache that comes and goes, which. The hyperproduction of growth hormone by anterior lobe of hypophysis. Along with these symptoms, basic side effects occur from pelvic bone cancer as well. Bone cancer can be one of several different cancers that develop in the bones. Shaking head synchronous with heart function (with pulse. Common symptoms of ovarian cancer include bloating, pelvic pain, feeling full quickly, and urinary symptoms. In the absence of treatment metastasis is observed, with the lungs primarily affected. Discover 10 common bone cancer symptoms at 10faq health and stay better informed to make healthy living decisions. But we also have secondary bone, those that metastasize from other tumors and form secondary metastatic masses in the bones. Cancers that begin in the bone are called primary bone cancers.
According to coinmarketcap , the cryptocurrency market cap is hovering right around $2.5 trillion. This article has already been saved in your saved items. 29.11.2021 · cryptocurrency investing has been going on for more than a decade and has exploded in recent years. 24.11.2016 · click "from computer" on the red bar and select the png images > hit the "convert" button, and download your files when the conversion is complete. 25.11.2021 · decred is a cryptocurrency that combines two consensus models—proof of stake and proof of work. Announcing Ironx A Joint Cryptocurrency Exchange By Cryptocurrency Hd Png Download 960x596 4128978 Pngfind from www.pngfind.com 24.11.2016 · click "from computer" on the red bar and select the png images > hit the "convert" button, and download your files when the c...
Signs Of Eye Cancer In Infants - Retinoblastoma Cancer Australia Childrens Cancers : People with eye cancer may experience the following symptoms or signs. . Neuroblastoma arises from immature nerve cells in infants and young children. There are no regular screening tests for eye cancer in people at average risk. On rare occasions, it can occur on the outermost layer on the front of the eye (the conjunctiva), in the socket that surrounds the eye, or the eyelid itself. Unfortunately, every complaint or symptom of cancer can be some cancers occur more frequently in certain age groups. Learn the early signs in children and adults to avoid visual impairment. The most common intraocular eye cancers in adults are intraocular melanoma and intraocular lymphoma. This can be a sign of a number of diseases, including cancer. This may also be called symptom management. If the cancer starts inside the eyeball it's called intraocular cancer. Cancer occurring in infants often...
What Is The Horoscope For Cancer / Cancer Horoscope June 2021 Love And Career Predictions Allure / What the cancer zodiac sign is all about: . The year 2021 brings health issues for people born in cancer sign and this gives them many opportunities to improve both their physical and mental condition. 2021 today with the moon placed in aries, you may be a little serious and may feel a bit suspicious as well, dear cancer. The crab of the zodiac, one of the three signs dominated by the water element, the symbol of the emotional world, is an authentic representative of the purest sensitivity, becoming that feature in a true emblem of the personality of the cancer zodiac sign. Receive a personalized cancer horoscope reading Although there is a potential inflammation here, venus will join him in this area of your chart by june 27. In any case, you will escape the routine, and that is the most important thing. Single, your love life should be okay, provided you can calm down...
Komentar
Posting Komentar