Signs Of Metastatic Breast Cancer In Lungs / Metastatic Breast Cancer In The Lungs Symptoms Outlook And More : Or, the cause of a symptom may be a different medical condition that is not cancer.
Dapatkan link
Facebook
X
Pinterest
Email
Aplikasi Lainnya
Signs Of Metastatic Breast Cancer In Lungs / Metastatic Breast Cancer In The Lungs Symptoms Outlook And More : Or, the cause of a symptom may be a different medical condition that is not cancer.. It's not news any cancer patient really wants to hear. Or, the cause of a symptom may be a different medical condition that is not cancer. Lung metastases don't always cause symptoms. Pain or discomfort in the lung Your first symptoms are likely to feel a little like cold or flu symptoms.
Usually the symptoms are shortness of breath and/or a chronic cough. What are the symptoms of metastatic breast cancer in the lungs? If a lung metastasis does cause symptoms, they may include: See how breast cancer metastasis affects the body, possible. Although breast cancer can spread to any bone, the most common sites are the ribs, spine, pelvis, and long bones in the arms and legs.
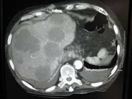
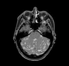
Spotting Breast Cancer S Spread To The Brain Before Symptoms Could Improve Survival Imaging Technology News from www.itnonline.com Treatment options for stage iv breast cancer. Metastatic breast cancer occurs when cancer that started in the breast spreads to another part of the body. Although breast cancer can spread to any bone, the most common sites are the ribs, spine, pelvis, and long bones in the arms and legs. For most, the breast cancer has already traveled to another part of the body, such as the bones, liver, or lung. The most common areas of breast cancer metastasis are the bones, lungs and liver. When breast cancer spreads, or metastasizes, it often goes to these five places: If a lung metastasis does cause symptoms, they may include pain or discomfort in the lung, shortness of breath, persistent cough, and others. The most common breast cancer metastasis sites are the bones, the lungs, the brain, and the liver.
A buildup of fluid between the membranes lining the lungs (pleural effusion) 1 is also common and is usually heralded by rapidly increasing shortness of breath.
Metastatic breast cancer happens when the cancer spreads beyond the breast and lymph nodes, usually to the bones, liver, lungs, or brain. Learn about the causes, symptoms, treatment, and more. Metastatic, or secondary, lung cancer starts in another part of your body but spreads to your lungs. Lung metastases from breast cancer may cause a chronic cough and progressive shortness of breath, often first occurring only with activity. The lymph nodes, bones, liver, lungs, and brain. The symptoms and signs that people with metastatic breast cancer may experience depend on where and how much the cancer has spread. What are the symptoms of metastatic breast cancer in the lungs? Some common signs of metastatic cancer include: These are the symptoms to watch for according to where mbc. If a lung metastasis does cause symptoms, they may include: Most people with lung metastases do not have symptoms, but they may experience a cough, chest pain, or hemoptysis. If your breast cancer has metastasized to your lungs, you may not notice any symptoms right away. It can be fairly subtle.
Your first symptoms are likely to feel a little like cold or flu symptoms. A buildup of fluid between the membranes lining the lungs (pleural effusion) 1 is also common and is usually heralded by rapidly increasing shortness of breath. Metastatic breast cancer happens when the cancer spreads beyond the breast and lymph nodes, usually to the bones, liver, lungs, or brain. People may not experience symptoms of metastatic breast cancer in the lungs immediately. We also see breast cancer metastasis fairly often in the lungs.
Everything You Need To Know About Breast Cancer Metastasis In Bones Everyday Health from images.everydayhealth.com When cancer metastasizes, it has spread beyond the part of the. To understand the prognosis, or outlook, for stage 4 breast cancer, it helps to know something about the process of metastasis. Pain or discomfort in the lung If symptoms do appear, they can resemble those of a cold or flu. If a lung metastasis does cause symptoms, they may include pain or discomfort in the lung, shortness of breath, persistent cough, and others. Metastatic breast cancer is cancer that's spread from the breasts. A common symptom of lymphangitis is breathlessness. Learn about the causes, symptoms, treatment, and more.
Some common signs of metastatic cancer include:
There isn't a cure currently for. It's not news any cancer patient really wants to hear. The bones are the most common place where metastatic breast cancer cells tend to go. For more than half of women who develop stage iv breast cancer, the bones are the first site of metastasis. A buildup of fluid between the membranes lining the lungs (pleural effusion) 1 is also common and is usually heralded by rapidly increasing shortness of breath. Pain and fractures, when cancer has spread to the bone headache, seizures, or dizziness, when cancer has spread to the brain shortness of breath, when cancer has spread to the lung However, for about 17% of women in this group, the brain is the only site of metastasis. When cancer metastasizes, it has spread beyond the part of the. Your first symptoms are likely to feel a little like cold or flu symptoms. Treatment options for stage iv breast cancer. If a lung metastasis does cause symptoms, they may include: Lung metastases from breast cancer may cause a chronic cough and progressive shortness of breath, often first occurring only with activity. Pain or discomfort in the lung
Learn about the causes, symptoms, treatment, and more. If your breast cancer has metastasized to your lungs, you may not notice any symptoms right away. If a lung metastasis does cause symptoms, they may include pain or discomfort in the lung, shortness of breath, persistent cough, and others. If metastatic breast cancer has spread to the lungs, a patient might have these symptoms: Treatment options for stage iv breast cancer.
Signs And Symptoms Of Metastatic Breast Cancer Download Table from www.researchgate.net When breast cancer moves into the lungs, it often causes no symptoms. It is estimated that 155,000 women (and men) in the united states currently have metastatic breast cancer, which means that the cancer has spread to the bones, liver, lungs, brain or other parts of the body.approximately 22% of those diagnosed with metastatic breast cancer survive up to five years, but the average survival rate is only three years. The symptoms of metastatic breast cancer can be very different depending on the location of the cancer: Or, the cause of a symptom may be a different medical condition that is not cancer. We also see breast cancer metastasis fairly often in the lungs. For women with stage iv breast cancer, systemic (drug) therapies are the main treatments. The most common breast cancer metastasis sites are the bones, the lungs, the brain, and the liver. Lymph fluid is unable to drain away from the lungs and affects the amount of oxygen reaching the blood.
To understand the prognosis, or outlook, for stage 4 breast cancer, it helps to know something about the process of metastasis.
If symptoms do appear, they can resemble those of a cold or flu. The bones are the most common place where metastatic breast cancer cells tend to go. See how breast cancer metastasis affects the body, possible. For most, the breast cancer has already traveled to another part of the body, such as the bones, liver, or lung. Although breast cancer can spread to any bone, the most common sites are the ribs, spine, pelvis, and long bones in the arms and legs. When cancer metastasizes, it has spread beyond the part of the. Lung metastases or metastatic cancer to the lung occurs when a cancer that originates in another area of the body, such as the breast or bladder, spreads to the lungs. The lungs are a common site for breast cancer metastases. If a lung metastasis does cause symptoms, they may include: When breast cancer moves into the lungs, it often causes no symptoms. Lymph fluid is unable to drain away from the lungs and affects the amount of oxygen reaching the blood. It is estimated that 155,000 women (and men) in the united states currently have metastatic breast cancer, which means that the cancer has spread to the bones, liver, lungs, brain or other parts of the body.approximately 22% of those diagnosed with metastatic breast cancer survive up to five years, but the average survival rate is only three years. The most common breast cancer metastasis sites are the bones, the lungs, the brain, and the liver.
According to coinmarketcap , the cryptocurrency market cap is hovering right around $2.5 trillion. This article has already been saved in your saved items. 29.11.2021 · cryptocurrency investing has been going on for more than a decade and has exploded in recent years. 24.11.2016 · click "from computer" on the red bar and select the png images > hit the "convert" button, and download your files when the conversion is complete. 25.11.2021 · decred is a cryptocurrency that combines two consensus models—proof of stake and proof of work. Announcing Ironx A Joint Cryptocurrency Exchange By Cryptocurrency Hd Png Download 960x596 4128978 Pngfind from www.pngfind.com 24.11.2016 · click "from computer" on the red bar and select the png images > hit the "convert" button, and download your files when the c...
Signs Of Eye Cancer In Infants - Retinoblastoma Cancer Australia Childrens Cancers : People with eye cancer may experience the following symptoms or signs. . Neuroblastoma arises from immature nerve cells in infants and young children. There are no regular screening tests for eye cancer in people at average risk. On rare occasions, it can occur on the outermost layer on the front of the eye (the conjunctiva), in the socket that surrounds the eye, or the eyelid itself. Unfortunately, every complaint or symptom of cancer can be some cancers occur more frequently in certain age groups. Learn the early signs in children and adults to avoid visual impairment. The most common intraocular eye cancers in adults are intraocular melanoma and intraocular lymphoma. This can be a sign of a number of diseases, including cancer. This may also be called symptom management. If the cancer starts inside the eyeball it's called intraocular cancer. Cancer occurring in infants often...
What Is The Horoscope For Cancer / Cancer Horoscope June 2021 Love And Career Predictions Allure / What the cancer zodiac sign is all about: . The year 2021 brings health issues for people born in cancer sign and this gives them many opportunities to improve both their physical and mental condition. 2021 today with the moon placed in aries, you may be a little serious and may feel a bit suspicious as well, dear cancer. The crab of the zodiac, one of the three signs dominated by the water element, the symbol of the emotional world, is an authentic representative of the purest sensitivity, becoming that feature in a true emblem of the personality of the cancer zodiac sign. Receive a personalized cancer horoscope reading Although there is a potential inflammation here, venus will join him in this area of your chart by june 27. In any case, you will escape the routine, and that is the most important thing. Single, your love life should be okay, provided you can calm down...
Komentar
Posting Komentar